Vets have been thanked for saving the life of a therapy cat who was discovered five days after being seriously injured in a road accident.
One-year-old Maine Coon Milo was found hiding in a bush by a dog walker with extensive injuries, including infected open wounds and fractures, which left him unable to walk or move properly.
Milo was taken to his local vet practice in the Isle of Man, which referred him to Linnaeus-owned Kentdale Referrals in Milnthorpe, Cumbria. His owner Vikki Bolton arrived with her beloved pet at 1.30am, where the veterinary team were waiting to meet them.

Graham said: “Milo is a much-loved therapy cat who had been missing for several days and was discovered unable to move properly.
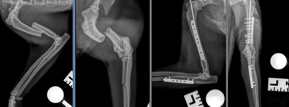
“Radiographs showed he had several very serious fractures, so we stabilised him over night before carrying out the surgery the following day.
“We reduced and stabilised one of his fractures by putting a pin down the bone and a plate and screws to hold the fragments in place, before using a plate and screws to prevent another fracture from becoming displaced.
“The surgery was a success and it was only a few days before Milo was well enough to be discharged and reunited with his family.”
Four days later Milo was allowed home, where Vikki said he was looked after by the whole family, including a teenage girl who he is a therapy cat for.
Vikki said: “It was six long weeks of crate rest, but now Milo is gradually exploring the outdoors again and is back to his affectionate, adorable self. We have our boy back and our daughter has her therapy cat back.
“Milo is with us because of Kentdale, they refused to give up on him and so did we.
“We all love Milo, but because he is a therapy cat there is an extra reliance on him. Our lives would be chaotic if he had not pulled through. We’re so glad he’s back to doing what he does best, supporting our daughter and enjoying his life.”
Kentdale Referrals is a specialist-led hospital offering expert services in diagnostic imaging, arthroscopy, anaesthesia, orthopaedic surgery, spinal surgery, soft tissue surgery and physiotherapy.






